티스토리 뷰
목차
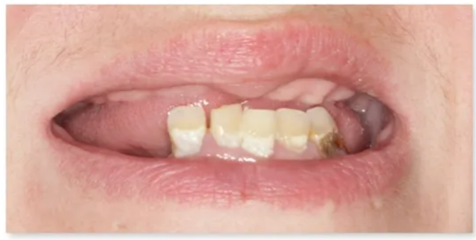
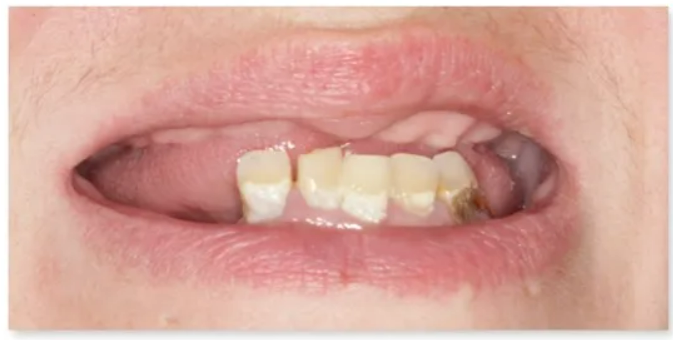
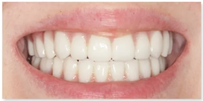
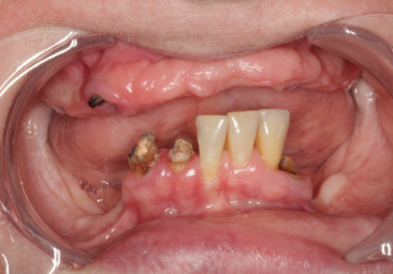
임플란트를 찾고 계신가요? 치아가 상실되면 가능한 빨리 임플란트 치료를 받으셔야 합니다.
치아를 상실된 채 그대로 두게 되면 치아 배열에 불균형과 턱뼈 손실, 잇몸질환 문제가 발생합니다.
특히, 치아가 빠진 자리에 턱뼈가 충분한 자극을 받지 못하면, 뼈가 약해지면서 얼굴 외형의 변화까지 생기게 됩니다.


이렇게 상실된 치아로 인해 외관상 좋지 않은 변형과 턱 관절 장애까지 유발하게 되면 더이상 되돌릴 수 없는 단계에 이르게 됩니다.
임플란트는 이런 상실된 치아를 대체하는데 매우 유용합니다. 하지만, 비싼 가격 때문에 꺼려지신다면 아래에서 임플란트 가격 비교와 의료보험 할인 혜택 정보를 확인해보세요.
임플란트 가격 비교
임플란트의 비용은 지역, 병원, 사용되는 재료 등에 따라 다릅니다.
일반적으로 100만 원에서 200만 원 사이이며, 더 저렴한 곳도 있습니다. 하지만 단순히 가격만을 고려하면, 부작용이나 재수술 등으로 인해 추가 비용이 발생할 수 있습니다.
따라서 전문성과 신뢰성을 고려하여 병원을 선택하는 것이 중요합니다.
가격 비교 방법
1. 건강보험심사평가원
건강보험심사평가원에서는 비급여 진료비용 정보를 통해 임플란트 가격을 비교할 수 있습니다.
📌 홈페이지 : 건강보험심사평가원 홈페이지에 접속하여 '비급여 진료비 정보' 메뉴를 클릭합니다.
📌 조건 입력 : 지역과 의료기관 규모, 임플란트 종류를 선택하여 검색합니다.
📌 가격 확인 : 원하는 치과를 선택하여 임플란트 가격을 확인합니다.
2. 모두닥
모두닥은 전국의 병원 가격정보와 후기를 볼 수 있는 사이트입니다. 아래에서 모두닥 바로가기를 통해 임플란트 가격을 비교할 수 있습니다.
📌 모두닥 접속 : 앱스토어나 구글스토어에서 '모두닥'을 검색 후 다운로드하거나 모두닥 모바일 사이트로 접속합니다.
📌 회원가입 및 검색 : 간단한 회원가입 후 치과 카테고리에서 임플란트를 선택하고 원하는 지역을 검색합니다.
📌 가격 확인 : 각 병원의 임플란트 시술 가격, 후기, 평점 등을 확인하여 비교합니다.
임플란트 할인 방법
임플란트 시술은 비용이 상당히 높을 수 있기 때문에 다양한 방법으로 할인을 받는 것이 중요합니다. 다음은 임플란트 시술 비용을 절감할 수 있는 방법입니다.
1. 치과 보험 활용
일부 치과 보험은 임플란트 시술 비용의 일부를 보장해줍니다.
보험 혜택을 최대한 활용하여 비용을 절감할 수 있습니다. 보험사와 사전 상담을 통해 임플란트 관련 혜택을 확인해보세요.
2. 국민건강보험 적용
대한민국에서는 만 65세 이상을 대상으로 일부 임플란트 시술에 대해 건강보험 혜택을 제공하고 있습니다. 아래에서 적용절차를 확인하세요.
📌 만 65세 이상 환자 치과 내원 ➡️ 환자 진료비 30% 지불 ➡️ 치과에서 공단에 신고 ➡️ 공단에서 치과로 진료비 70% 환급
3. 치과 대학 병원
치과 대학 병원에서는 임플란트 시술을 포함한 다양한 치과 치료를 비교적 저렴한 비용으로 받을 수 있습니다.
4. 프로모션 및 할인 이벤트
특정 기간 동안 임플란트 시술에 대한 할인 이벤트나 프로모션을 제공합니다. 아래에서 기회를 놓치지 않고 활용하면 비용을 절감할 수 있습니다.
5. 패키지 할인
여러 개의 임플란트를 동시에 시술할 경우 패키지 할인을 제공하는 치과도 있습니다. 여러 개의 치아를 한꺼번에 임플란트 시술을 받으면 비용을 절감할 수 있습니다.
임플란트 시술 기간
임플란트 시술 기간은 개인의 구강 상태, 필요한 시술의 복잡성, 치유 과정 등에 따라 다를 수 있습니다.
일반적으로 임플란트 시술은 몇 단계에 걸쳐 진행되며, 전체 과정은 몇 개월에서 1년까지 걸릴 수 있습니다.
다음은 일반적인 임플란트 시술 과정과 각 단계의 소요 기간에 대한 설명입니다
1. 초기 상담 및 진단
첫 방문 시 치과의사는 환자의 구강 상태를 평가하고, 임플란트가 적합한지 확인하기 위해 X-ray나 CT 촬영을 합니다. 이 과정은 일반적으로 한두 번의 방문으로 완료됩니다.
2. 치조골 이식 (필요한 경우)


만약 턱뼈가 충분히 건강하지 않거나 두껍지 않다면, 치조골 이식이 필요할 수 있습니다.
이식된 뼈가 충분히 치유되고 안정되기까지는 약 3~6개월이 소요됩니다.
3. 임플란트 식립
임플란트를 턱뼈에 식립하는 단계입니다. 이 과정은 대개 12시간 정도 소요되며, 국소 마취 하에 진행됩니다.
임플란트를 식립한 후, 뼈와 임플란트가 통합되기까지 36개월의 치유 기간이 필요합니다. 이 기간 동안 임플란트가 턱뼈에 단단히 고정됩니다.
4. 어버트먼트 부착
임플란트와 인공 치아(크라운)를 연결하는 어버트먼트를 부착하는 단계입니다. 이 과정은 비교적 간단하며, 약 1주일 정도의 치유 기간이 필요합니다.
5. 인공 치아(크라운) 제작 및 부착
어버트먼트가 부착된 후, 환자의 치아 모양에 맞춘 인공 치아(크라운)를 제작합니다. 크라운 제작에는 보통 2~3주가 소요됩니다. 이후 크라운을 어버트먼트에 부착합니다.
6. 후속 관리


임플란트가 완전히 자리잡은 후, 후속 관리를 통해 임플란트의 상태를 점검하고 필요시 조정을 할 수 있습니다.
전체적으로 임플란트 시술 과정은 환자의 상태에 따라 다르지만, 일반적으로 5~9개월 정도가 소요됩니다.
복잡한 경우나 추가적인 치료가 필요한 경우, 전체 기간이 더 길어질 수 있습니다.
임플란트 종류
임플란트는 다양한 종류가 있으며, 각각의 종류는 환자의 특정 조건과 필요에 따라 선택됩니다.
1. 치근형 임플란트(Root-form Implants)
가장 일반적으로 사용되는 임플란트 유형으로, 자연 치아의 뿌리와 유사한 모양을 가지고 있습니다. 주로 턱뼈가 충분히 두껍고 건강한 환자에게 사용됩니다.
✅ 재질 : 주로 티타늄이나 세라믹으로 만들어집니다.
✅ 모양 : 나사 모양이나 원통형입니다.
2. 판형 임플란트(Plate-form Implants)
턱뼈가 좁거나 얇은 경우에 사용됩니다. 치조골의 높이는 충분하지만 폭이 부족한 경우에 적합합니다.
✅ 모양 : 얇고 길쭉한 판 모양으로 턱뼈에 삽입됩니다.
3. 서브페리오스테알 임플란트(Subperiosteal Implants)
치조골이 충분하지 않거나 치조골 이식을 원하지 않는 경우에 사용됩니다. 턱뼈 위에 직접 놓여지는 금속 프레임을 사용합니다.
✅ 설치 방법 : 잇몸 아래, 턱뼈 위에 금속 프레임을 배치하고 잇몸이 치유되면서 프레임이 고정됩니다.
4. 즉시 임플란트(Immediate Implants)
치아를 발치한 즉시 임플란트를 식립하는 방법입니다. 치유 기간을 단축시키고 전체 치료 기간을 줄일 수 있습니다.
✅ 장점 : 발치와 동시에 임플란트를 식립하여 추가적인 수술을 줄일 수 있습니다.
5. 미니 임플란트(Mini Implants)
지름이 3mm 이하로 작은 임플란트로, 주로 임시적인 치아 고정이나 좁은 공간에 사용됩니다.
✅ 장점 : 덜 침습적이며 치유 기간이 짧습니다.
6. 지르코니아 임플란트(Zirconia Implants)
금속이 아닌 세라믹 재질로 만들어진 임플란트로, 금속 알레르기가 있는 환자에게 적합합니다.
✅ 장점 : 더 자연스러운 치아 색상과 높은 생체 적합성을 가지고 있습니다.
7. 하이브리드 임플란트(Hybrid Implants)
티타늄과 세라믹을 결합하여 만든 임플란트로, 두 재료의 장점을 결합한 것입니다.
✅ 장점 : 높은 강도와 좋은 생체 적합성을 동시에 제공합니다.
👇함께 보면 좋은 글👇
치아보험 가입조건 보장내역 가격비교 추천
치아보험을 찾고 계신가요? 치아보험 한번에 큰 비용이 발생하기 때문에 보험을 가입해 놓치 않으면 치과치료로 목돈이 나갈 수 있어요! 특히, 한국의 치과 보험 제도가 급여 항목과 비급여 항
loan.withmerich.com
